Is Vaping SAFE?
In the past decade, many have switched over to vaping from smoking cigarettes believing that vaping is less harmful than cigarettes. It has not only attracted smokers but it became a trend that even non-smokers caught on.
The vaping industry has boomed so much with sleeked devices, various flavors and pleasant vapor smells attracting young ones to vape. We have seen an increase in youths and young adults vaping at an alarming rate in recent years.
THE SHOCKER!
Recently, 5 people have been reported dead and hundreds of people have been admitted for lung-related issues linked to vaping.
Authorities and clinicians are on the move to discover the exact cause and chemical(s) that is believed to be making healthy people sick. Dr. David C. Christiani from Harvard T.H. Chan School of Public Health said,
“There is clearly an epidemic that begs for an urgent response”.
The statement could not be any truer looking at the rate vaping has brought in patients with acute lung illnesses to the emergency unit.
WHAT WE DO KNOW
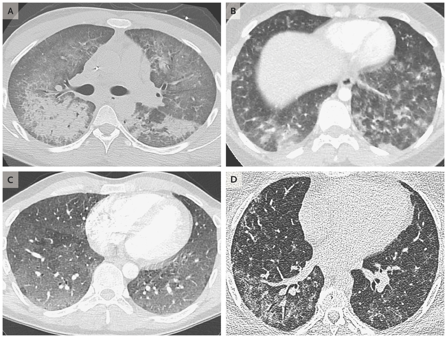
The New England Journal of Medicine reported scans of damaged patients lungs that is now known as Vaping-Induced Lung Injury. What seemed to be waves of the rumor is confirmed by hard evidence that there is damage caused by vaping.
It is said that the heating coils in vaping devices might release metal particles that could be inhaled.
Other studies state that the use of electronic nicotine delivery systems (ENDS) use heat and aerosolize the flavorants which consists of aldehydes and alcohols that could bring about aerolisation of completely new compounds which might be harmful to the lungs.
Scans of the lungs of 4 patients, aged 19 to 49, showing damage to the lungs from vaping devices. (New England Journal of Medicine)
Symptoms associated with Vaping-Induced Lung Injury (that patients came in with):
- Shortness of Breath
- Flulike Symptoms
- High Fever
- Pneumonialike Symptoms
Health Effects of Nicotine
- Exposure to nicotine in youths increases nicotine addiction as well as addiction to other drugs. Studies show that there is a heritable dependence on nicotine, which means it can be transmitted maternally or grand maternally.
- Pregnancy - nicotine can alter nerve cell function in the fetus and increase the risk of stillbirth and preterm delivery
- Nicotine affects insulin resistance and predisposes to metabolic syndrome
- Linked to various cancers & is also a tumor promoter
- Irregular menstrual cycles & chronic anovulation
- Erectile dysfunction
- Chronic kidney disease
- Increase risks of diabetes mellitus and age-related macular degeneration
- Increase risk of Gastro-Esophageal Reflux Disease (GERD) and Peptic Ulcer Disease (PUD)
WHAT SHOULD WE DO
Let’s do our part and Raise Awareness - Stop using e-cigarettes of any kind and discourage friends and family from it.
“You can make a difference in their lives before its too late. “
Download our Doc2Us app from Google Play Store or Apple Store and chat with a doctor now.
REFERENCES:
1. https://www.nejm.org/doi/full/10.1056/NEJMe1912032
2. https://www.nytimes.com/2019/09/06/health/third-death-vaping-related-disease.html
4. https://www.nejm.org/doi/full/10.1056/NEJMc1911995?query=recirc_curatedRelated_article
5. https://www.ncbi.nlm.nih.gov/pmc/articles/PMC4363846/
Picture reference:
2. https://slate.com/technology/2019/09/vaping-illnesses-no-answers-dont-panic.html
3. https://www.nejm.org/doi/full/10.1056/NEJMc1911995?query=recirc_curatedRelated_article






